
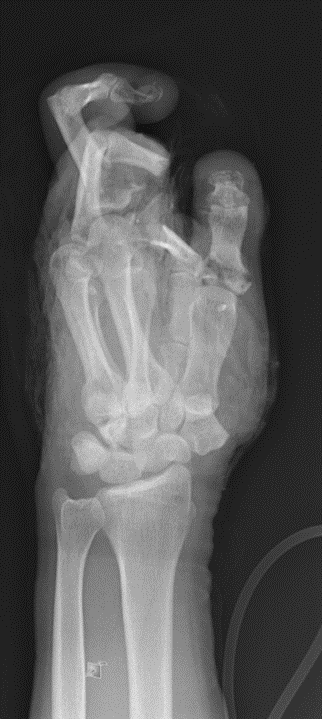
Der Knall, der bleibt: Warum Feuerwerksunfälle medizinisch besonders komplex sind
Wenn in der Silvesternacht Raketen den Himmel erleuchten, ist das für viele ein besonderer Moment. Ein Innehalten vor einem Jahr voller neuer Möglichkeiten. Doch wenn der Umgang mit Feuerwerk schiefgeht, kann dieser Neubeginn eine andere Richtung nehmen. Zwei Chirurgen der BG Unfallklinik Murnau, dem größten überregionalen Traumazentrum im süddeutschen Raum mit zertifiziertem Schwerbrandverletztenzentrum, geben Einblick in ihre medizinische Sicht auf diese Nacht: Dr. Markus Öhlbauer, Chefarzt der Plastischen Chirurgie, und Dr. Nils Baas, Chefarzt der Hand- und Unterarmchirurgie.
